特色医疗
小创口解决大痛苦!外二科独立完成两例腹腔镜下输尿管切开取石术时间:2023-06-08 11:12:26 来源:李林 阅读:19969
近日,我院外二科完成两例腹腔镜下输尿管切开取石术,这是首次由我院医生独立完成该类微创手术,标志着我院泌尿外科微创手术再上新台阶。
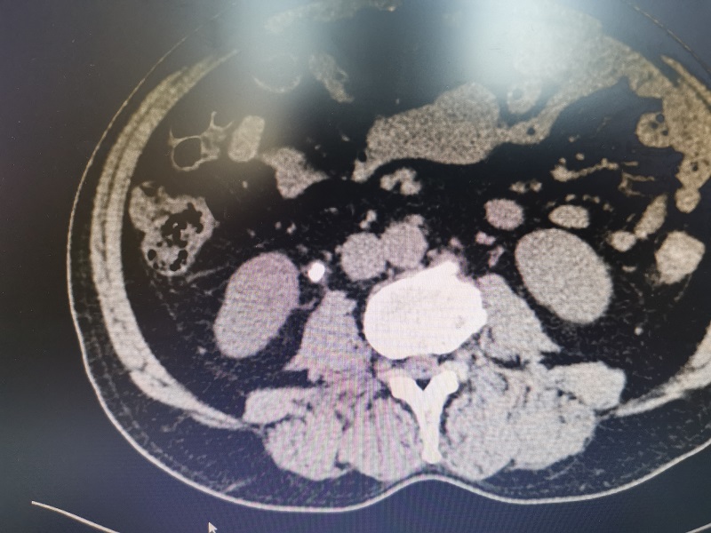
其中一例患者因“间断右侧腰部疼痛2月”入院,入院B超提示右侧输尿管上段可见一约15mm×6mm大小的强回声团块,行CT检查进一步确诊为输尿管结石。因该结石大于1厘米,若行激光碎石治疗,排石期长且感染风险高,经与家属沟通,同意行腹腔镜下输尿管切开取石术。

全麻下在患者腰部打微孔进入手术器械,找到结石嵌顿的输尿管,切开输尿管完整取出结石,在输尿管内置入支架,缝合输尿管。手术过程顺利,术后仅于腰部留三个约1cm的小切口,目前该患者已痊愈出院。
相较于其他结石治疗方式,腹腔镜下输尿管切开取石术具有创伤小、恢复快,结石可完整取出,因此术后感染风险更低、结石清除率更高等优点。

输尿管切开取石术适应症:
1.输尿管结石直径大于1cm,或表面不规则,呈多角形者。
2.尿路狭窄,或结石位置固定(因有多次感染发作致局部炎症引起较重粘连)者。
3.输尿管结石合并感染经治疗无效,或合并肾盂积水,严重威胁肾功能者。
4.双侧输尿管结石梗阻引起尿闭者。
目前我院外二科可通过体外冲击波碎石治疗、输尿管硬镜碎石术、腹腔镜下输尿管切开取石术、输尿管软镜碎石术、经皮肾镜碎石取石术、膀胱结石钬激光碎石术等,处理位于肾脏、输尿管、膀胱的各类泌尿系结石,并在各型泌尿系疾病的微创手术治疗上不断开拓进取。
咨询电话:6465996
