特色医疗
我院引进OP 3D?Pro高清数字化口腔影像系统并投入使用时间:2020-06-18 00:41:58 来源:admin 阅读:9451
随着生活水平的提高,人们对牙科病,牙齿矫形等越来越重视,口腔曲面断层摄影在临床诊疗中的应用越来越广泛。为满足患者及临床需求,为临床提供更精确的诊断信息,我院购买了KaVo的ORTHOPANTOMOGRAPH OP 3D Pro口腔锥形束计算机断层扫描设备(CBCT),已安装调试投入临床使用。
OP 3D™Pro高清数字化口腔影像系统

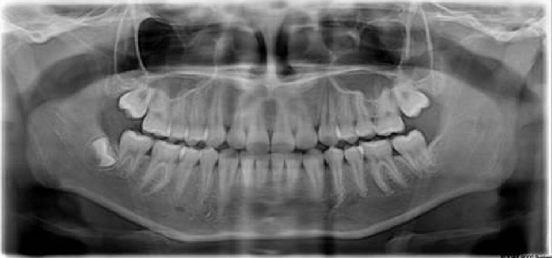
全景片(曲面断层片)
辐射剂量低:传统CT的有效放射剂量大概在2000uSv,而CBCT放射剂量范围在29uSv-477uSv之间,降低了75%以上的放射量。
扫描时间短:单次扫描时间一般为10-50秒,降低了患者辐射暴露时间和扫描时运动产生的伪影。
成像质量高:扫描层薄,无需断层之间重建,金属伪影轻。

全景片(曲面断层片)

术前术后曲面断层片对照
同时CBCT也存在一些缺点:
密度分辨率不足,对软组织显示不足。
扫描视野受限制,大视野下的空间分辨率并不高。
需要注意的是,空间分辨率和成像视野有关。成像视野越大,同样X射线扫描得到的空间分辨率会受一定的影响。正是因为空间分辨率和成像视野的关系限制,大多CBCT多用在口腔这一成像视野并不大的领域。


CBCT片
曲面断层在正畸方面应用广泛,优点是:病人从治疗开始到完成期间牙齿发育和萌出过程可以很好的评估。
病人所受到的放射剂量(包括皮肤剂量和内分泌剂量)少,对青少年特别有利,并节省时间。
咨询电话:
放射科:0934-6465818
口腔科:0934-6465095
地址:
庆阳市中医医院住院部负一楼放射科
庆阳市中医医院门诊三楼口腔科
