图书考试
期刊查询
网站首页
医院概况
医院简介
医院文化
领导班子
历史沿革
新闻动态
通知公告
科室导航
名医专家
内科
外科
妇产科
儿科
返聘专家
就医指南
预约挂号
就诊须知
医疗保险
楼层分布
特色医疗
党群工作
职工天地
特色医疗
肾病科联合多学科为一例尿毒症并发气胸患者成功实施引流术
时间:2021-02-02 03:07:40 来源:admin 阅读:8017
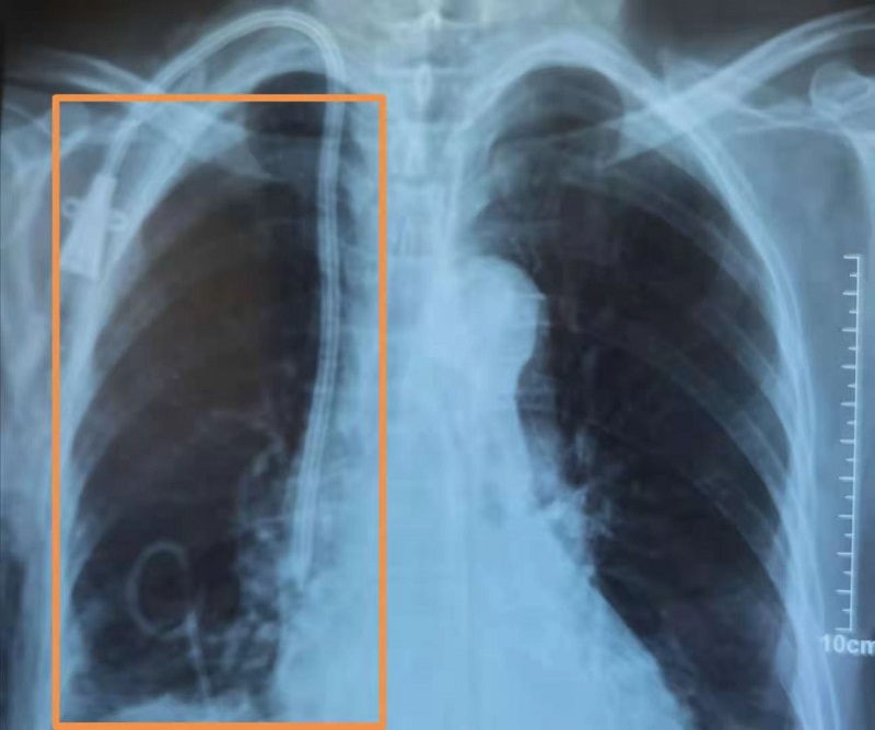
1月27日,肾病科联合B超室为一名慢性肾衰竭、尿毒症并发气胸患者成功实施了胸腔穿刺闭式引流术。
患者女性,68岁,患慢性肾衰竭、尿毒症多年,1月26日入住我院肾病科进行维持性血液透析治疗。入院时,胸闷、气短、身体乏力,并伴有咳嗽、咳痰等症状,胸部CT检查提示右侧液气胸,右肺肺不张(外压型)。本着为病人全程负责的理念,肾病科及时邀请外科会诊,外科建议立即请B超室配合行胸腔穿刺闭式引流术,否则患者将会有生命危险。随后,肾病科和B超室协作,紧急为患者进行了B超引导下穿刺引流,手术过程顺利。
术后患者胸闷、气短、乏力、咳嗽等症状明显好转,1月31日复查胸片,气胸明显改善,右肺复张。2月1日上午拔除闭式引流管后,患者生命体征平稳,趋于好转。